Crooked teeth often go unnoticed until they begin to affect more than just your smile. They may seem like a minor issue, but the reasons behind them can be surprisingly varied. If you have ever wondered why some teeth shift while others stay straight or what it means for your long-term dental health, you are not alone. Understanding what causes crooked teeth helps you take early action and explore the right treatment options.
Why Do Some Teeth Grow Out of Place?
Not all teeth grow in perfect alignment. Several natural and environmental factors can lead to crooked or misaligned teeth.
Genetics and Jaw Structure
The way your teeth align is often shaped by the size and structure of your jaw. If your jaw is too small, your teeth may not have enough room, causing crowding. A mismatch in the sizes of your upper and lower jaws can also affect alignment. These traits are often inherited, so if one parent has crooked teeth, the child might develop similar alignment issues. The structure of the jaw also determines how the upper molars and lower molars come together during biting.
Thumb Sucking and Tongue Habits
Thumb sucking beyond the early years can push the upper front teeth forward. When the tongue consistently pushes against the front teeth during swallowing or speaking, it can gradually disrupt natural tooth alignment. These habits often affect both baby teeth and permanent teeth. If left untreated, they can alter how the upper teeth and lower teeth come together.
Early Tooth Loss or Poor Dental Care
Early loss of baby teeth may create empty spaces, allowing nearby teeth to drift out of place over time. Poor dental care that leads to tooth decay or gum disease may result in early tooth loss. When teeth fall out, nearby teeth begin to move toward the open space. That shift can cause misaligned teeth and affect overall dental health.
Injury and Jaw Development
A knock to the face can displace teeth or affect jaw growth. Facial injury during early development may lead to lasting alignment concerns. Similarly, jaw size and shape can evolve unevenly if jaw muscles develop irregularly. This imbalance in the upper jaw or lower jaw can create pressure that causes teeth to shift.
Impact of Everyday Habits
Some daily habits can contribute to misalignment over time. Mouth breathing, less chewing due to soft diets, or irregular dental visits can all impact tooth position. These factors might seem minor, but they can gradually influence the proper position of teeth. Ensuring good oral health and avoiding poor habits supports long-term tooth alignment.
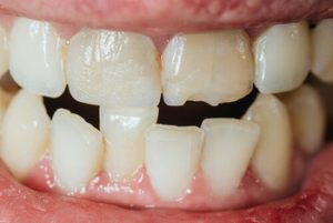
Common Signs and Effects of Crooked Teeth
Misaligned teeth can interfere with speech, chewing, and even confidence. Recognising the signs helps you act early.
Speech and Eating Challenges
Crooked teeth can affect how certain sounds are formed, especially if the front teeth or upper incisors are out of place. You might notice speech difficulties or slurred words. Chewing may also feel uneven, especially if the upper molars and lower molars do not align properly. These challenges can lead to discomfort during meals and digestive issues over time.
Sensitivity and Discomfort
Teeth that are crowded or twisted may create pressure in your jaw. This tension can cause mild discomfort or lead to sensitivity in certain areas. If one tooth bears more pressure than others, it may wear faster. Misalignment can also make it harder to reach some surfaces during brushing, increasing the risk of decay.
Appearance and Self-esteem
Some people feel self-conscious about how their teeth look. A smile with slightly crooked or rotated teeth can impact confidence, especially in social or professional settings. Even if the issue is minor, it may influence how someone feels about their overall physical appearance. This emotional aspect is often a key reason people seek straightening options.
Long-Term Dental Problems
If left unaddressed, crooked teeth can lead to more serious dental problems. Irregular spacing can trap food particles and lead to tooth decay or gum disease. Over time, misalignment may also cause uneven wear on teeth, contributing to chipped edges or cracks. These issues can require restorative dental procedures later in life.
Shifting of Other Teeth
When one or more teeth move out of place, it can cause other teeth to shift. This may create gaps or overlapping, changing the overall bite. A misaligned bite can lead to pain in the jaw or difficulties with closing your mouth naturally. Tooth loss from gum disease or other conditions can worsen this shifting pattern.
How to Treat Crooked Teeth
If you are ready to straighten crooked teeth, several solutions can help restore balance, function, and appearance. The right option depends on your goals, age, and how much alignment is needed.
Traditional Metal Braces
Traditional braces offer a reliable solution for addressing more involved alignment problems. Using a system of metal brackets and wires, they apply consistent pressure to guide teeth slowly into a better position. Regular adjustments by your dentist ensure that movement is steady and controlled. These braces are usually recommended for moderate to severe misalignment. Despite their visibility, they offer reliable results.
Lingual Braces
Lingual braces are placed behind the teeth, offering a discreet option for those who do not want braces visible when smiling. They work similarly to metal braces but are hidden from view. This option is especially useful for adults or teens concerned about their appearance during treatment. Lingual braces may take some time to get used to, but they can be just as effective.
Clear Aligners
Clear plastic aligners are custom-made trays that fit over your teeth and gradually move them into place. They are removable, making it easier to eat and brush without interference. Aligners are popular for their comfort and low profile. They are appropriate for mild to moderate cases and require discipline to wear them consistently. This method works well for those who want a flexible approach.
Take the Next Step Toward a Balanced Smile
Crooked teeth can affect how you feel, speak, and chew, but solutions exist that suit every age and lifestyle. Whether caused by genetics, habits, injury, knocked teeth, or tooth loss, early attention can prevent further shifting and support better oral health. Straightening teeth improves function and can lift confidence over time. Differences in jaw shape can also influence alignment and should be evaluated early. Habits like tongue thrusting may also contribute to long-term misalignment if not addressed.
If you are considering orthodontic treatment, our dental professionals can help guide you through your options and recommend whether you should wear braces to address misalignment or reduce the risk of future health problems. Call our clinic today on (02) 9054 5281 to book your consultation and take the first step toward straighter teeth.
References
https://www.webmd.com/oral-health/crooked-teeth-misaligned-bites
https://www.medicalnewstoday.com/articles/metal-braces-uses-costs-benefits-and-more-2


Genetics and Jaw Structure
Speech and Eating Challenges
Clear Aligners