Our Smile Gallery
Our Smile Gallery
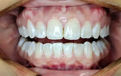
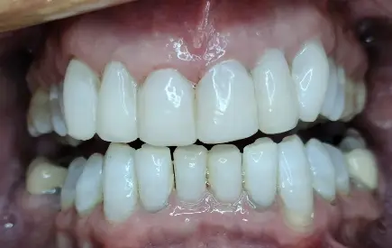
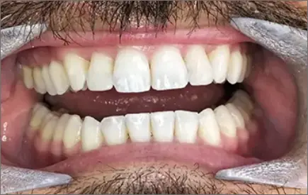
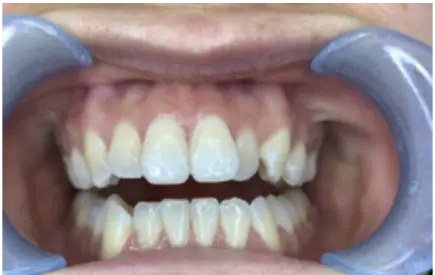
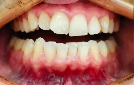
Patient Images are published with consent and are intended for educational purposes only. Results vary between individuals, and all dental procedures carry risks. Please seek professional advice from your dentist to determine whether a treatment is appropriate for your circumstances.
Before & After






























Before & After


Before & After








Before & After
Before & After






















































